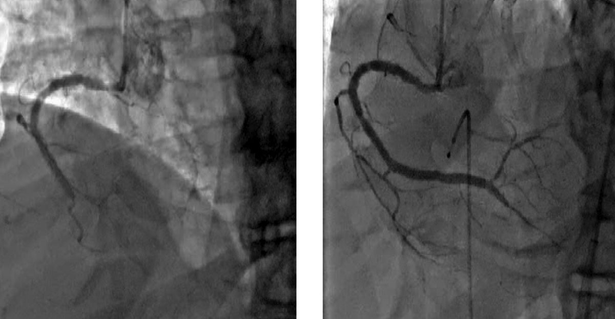
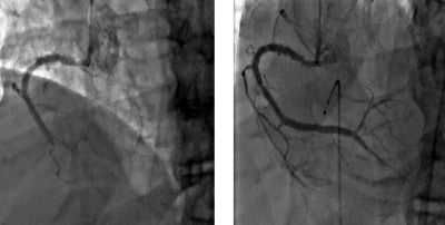
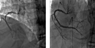
Picture this: An individual comes into a doctor’s or clinician’s office with symptoms of chest pain, shortness of breath and fatigue. The doctor or clinician orders a cardiac catheterization procedure, which reveals that one artery has a 100 percent blockage.
Nothing to be done. End of story, end of treatment. Right?
Not anymore, says Chirdeep Patel, MD, interventional cardiologist at Lehigh Valley Heart and Vascular Institute.
“If a patient has been told, ‘You have a blockage but there’s nothing we can do about it,’ chances are it’s chronic total occlusion,” Dr. Patel says. “And, more importantly, chances are that the statement, ‘There’s nothing we can do about it,’ is inaccurate. Almost always, there’s something we can offer this patient to help them feel better.”
