
Ovarian Masses and Cysts
- More Information
-
More
- Home
- Doctors
- Services
Page Hierarchy
- Conditions
- Ovarian Masses and Cysts
An ovarian cyst is a fluid-filled sac that forms on or in your ovary. Most cysts are harmless and don’t cause any symptoms, but some can be painful and even burst. A Lehigh Valley Health Network gynecologist or obstetrician-gynecologist (OB-GYN) can help.

When ovarian cysts cause symptoms, they may include:
- Pressure, swelling or pain in the abdomen
- Pelvic pain
- Dull ache in the lower back and thighs
- Problems passing urine completely
- Pain during sex
- Weight gain
- Pain during your period
- Abnormal bleeding
- Nausea or vomiting
- Breast tenderness
Diagnosis and next steps
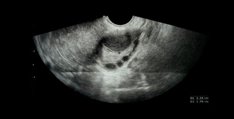
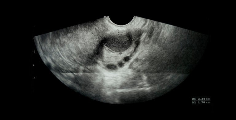
Diagnosis of an ovarian cyst involves a pelvic exam and transvaginal ultrasound (also called ultrasonography). An ultrasound transducer (probe) is inserted into your vagina and used to bounce high-energy sound waves (ultrasound) off internal tissues or organs and make echoes. The echoes form a picture of body tissues called a sonogram.
Depending on the nature of your condition and your symptoms, your provider will work with you to create a plan of action. Common treatments for ovarian cysts include:
- da Vinci® robotic surgery. This next-generation state-of-the-art robotic surgery requires only a tiny incision in your abdomen.
- Active surveillance. When it’s in your best interest not to treat ovarian cysts, your doctor will monitor the condition closely and treat it if it progresses or symptoms arise. Watchful waiting is a method of treatment and should not be considered “doing nothing.”
- Laparoscopy. This is a minor surgical procedure in which a laparoscope, a thin tube with a lens and a light, is inserted into an incision in your abdominal wall so your physician can remove the cysts.
Make an appointment
Learn more about our services or make an appointment by calling us at 888-402-LVHN (5846).