Nick Mancini felt the pain in his hand just after a weightlifting session in late February for the Souderton High School lacrosse team didn’t go as he planned.
“I got upset and punched a wall,” says the 18-year-old senior. “My hand hurt a lot after that, but I just wanted to forget it and went to practice. I told my coaches and wanted to play through it, but they told me to get it checked and be sure.”
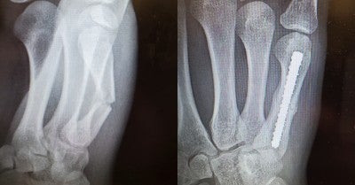
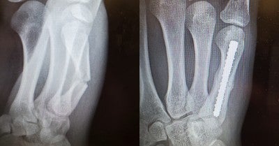
An X-ray done at an outpatient center in Quakertown showed a fracture in his right hand. Mancini was told he would likely need surgery and six to eight weeks of healing.
“That would have meant the end of my lacrosse season,” Mancini says. “I also play saxophone in the jazz band at school, and we had a competition coming up in a little more than a week. That seemed gone too.”
